• OPEN ACCESS

Consensus on the Management of Liver Injury Associated with Targeted Drugs and Immune Checkpoint Inhibitors for Hepatocellular Carcinoma (Version 2024)

  • Suxian Zhao1,#,
  • Jie Li2,#,
  • Lingdi Liu1,#,
  • Sha Huang3,#,
  • Yanhang Gao4,
  • Mei Liu5,
  • Yu Chen3,
  • Lai Wei6,
  • Jidong Jia7,
  • Hong You7,
  • Zhongping Duan5,
  • Hui Zhuang8,
  • Jingfeng Liu3,*,
  • Xiaoyuan Xu9,* ,
  • Yuemin Nan1,#,*  and
  • Chinese Society of Hepatology, Chinese Medical Association
 Author information
Journal of Clinical and Translational Hepatology 2025;13(11):992-1005

DOI: 10.14218/JCTH.2025.00228

Abstract

With the widespread application of systemic treatments for hepatocellular carcinoma, liver injury caused by molecular targeted drugs and immune checkpoint inhibitors has become a common clinical problem. The Chinese Society of Hepatology, Chinese Medical Association, organized domestic experts to summarize and analyze adverse liver reactions, as well as advances in the diagnosis and treatment related to systemic therapy for liver cancer, both domestically and internationally. Based on this work, we formulated the “Consensus on the Management of Liver Injury Associated with Targeted Drugs and Immune Checkpoint Inhibitors for Hepatocellular Carcinoma”, aiming to provide practical recommendations and decision-making guidance for clinicians in hepatology and related specialties. This guidance focuses on the monitoring, diagnosis, prevention, and treatment of liver injury during targeted and immune checkpoint inhibitor therapy, ultimately helping more liver cancer patients benefit from targeted immunotherapy.

Keywords

Hepatocellular carcinoma, Molecular targeted drugs, Immune checkpoint inhibitors, Liver injury, Prevention, Management, Consensus

Introduction

With advancements in the diagnosis and treatment of hepatocellular carcinoma (HCC), alongside the development and clinical application of novel antineoplastic agents, molecular targeted therapies and immune checkpoint inhibitors (ICIs) have emerged as the cornerstone of systemic treatment for HCC. These therapies have demonstrated notable clinical efficacy; however, ensuring their safety and managing associated liver injuries are critical for optimizing therapeutic outcomes and improving prognosis. Since 2020, the combination of atezolizumab and bevacizumab has been recommended as the first-line treatment for unresectable HCC by the European Society for Medical Oncology Clinical Practice Guideline. Following this, multiple novel targeted agents, ICIs, and combination regimens have gained guideline endorsements and have been integrated into clinical practice. To better assist clinicians in the early identification, timely diagnosis, and standardized management of therapy-associated liver injuries, and to enhance the objective response rate of antitumor treatments, improve patients’ quality of life, and extend survival, the Chinese Society of Hepatology convened experts from hepatology, oncology, hepatobiliary surgery, and other related disciplines. Based on domestic and international guidelines and consensus regarding molecular targeted drugs and ICIs for HCC, the expert panel evaluated liver reserve function and liver biochemical indicators prior to treatment initiation, as well as the timing, primary mechanisms, clinical and pathological features, and the prevention, monitoring, diagnosis, and management of liver toxicity and associated liver injury during treatment with various therapeutic regimens. On this basis, we formulated the “Consensus on the Management of Liver Injury Associated with Targeted Drugs and Immune Checkpoint Inhibitors for Hepatocellular Carcinoma (version 2024)”.

The consensus development process

The consensus was formulated by a panel of experts, including clinical epidemiologists, hepatologists, hepatobiliary surgeons, oncologists, laboratory technologists, and pathologists, organized by the Chinese Society of Hepatology, Chinese Medical Association. The literature references included in this consensus encompass meta-analyses, randomized controlled trials, non-randomized studies, observational studies, cohort studies, case reports, consensus and guideline opinions, expert views, and others. The process of formulating this consensus followed the standard procedures and protocols used by authoritative domestic and international academic organizations for guideline development. It involved defining the target population, users, and clinical issues. Recommendations were derived using the Delphi method and the nominal group technique. The formulation of the consensus adhered to the Grading of Recommendations Assessment, Development, and Evaluation system, as employed by international organizations, including the World Health Organization. The quality of the evidence supporting the recommendations is categorized into levels A, B, C, and D, while the strength of the recommendations is classified as strong (1) or weak (2), as shown in Table 1. The goal of this consensus is to provide practical suggestions and decision-making guidance for clinicians in hepatology and related specialties regarding the monitoring, diagnosis, prevention, and management of liver injury associated with HCC treatment using molecular targeted drugs and ICIs. With the development of new molecular targeted drugs and ICIs, and the accumulation of clinical experience, this consensus will be continually updated and improved based on the latest clinical evidence.

Table 1

Grading of evidence and recommendations

EvidenceDescriptions
Quality of evidence
  High quality (A)Further research is unlikely to change confidence in the estimate of effect.
  Moderate quality (B)Moderate confidence in the observed value: The true value is likely close to the observed value, but there is still a possibility of a difference between them.
  Low quality (C)Limited confidence in the observed value: The true value may differ from the observed value.
  Very low quality (D)Low confidence in the observed value: The true value is likely to differ from the observed value.
Grades of recommendation
  Strong recommendation (1)Clearly indicate that the intervention’s benefits outweigh the harms or vice versa.
  Weaker recommendation (2)The balance of benefits and harms is uncertain, or evidence of any quality indicates that the benefits and harms are equivalent.

Terminology

  • HCC: HCC is a malignant tumor resulting from the abnormal proliferation of hepatocytes. Histopathological differentiation can be classified using either the World Health Organization grading system (well, moderately, or poorly differentiated) or the Edmondson-Steiner Grade (I–IV). The China Liver Cancer Staging system categorizes HCC into stages Ia, Ib, IIa, IIb, IIIa, IIIb, and IV.

  • Molecular targeted drugs for HCC: These are drugs that exert antitumor effects primarily through anti-angiogenesis. They include multi-target tyrosine kinase inhibitors (TKIs) such as lenvatinib, sorafenib, donafenib, regorafenib, and cabozantinib; vascular endothelial growth factor (VEGF) receptor (VEGFR) antagonists such as apatinib; and VEGF/VEGFR monoclonal antibodies such as bevacizumab and ramucirumab.

  • ICIs: ICIs are molecules expressed on immune cells that regulate immune activation. They include programmed cell death 1 (PD-1), programmed cell death ligand 1 (PD-L1), and cytotoxic T lymphocyte-associated antigen-4 (CTLA-4). ICIs target PD-1, PD-L1, and CTLA-4 to modulate the body’s immune response and exert antitumor effects.

  • Immune-mediated liver injury caused by immune checkpoint inhibitors (ILICI): ILICI refers to immune-related adverse events in the liver induced by ICIs. These events may result from off-target effects of ICIs, leading to immune hyperactivation, regulatory T-cell depletion, and alterations in gut microbiota. Subtypes of ILICI include immune-mediated hepatitis (IMH) and immune-mediated cholangitis (IMC).

Incidence of liver injury associated with molecular targeted drugs and ICIs

The Chinese Society of Clinical Oncology Guidelines for the Diagnosis and Treatment of Primary Liver Cancer (version 2024)1 and the American Society of Clinical Oncology Updated Guideline for Systemic Therapy for Advanced Hepatocellular Carcinoma2 both recommend atezolizumab combined with bevacizumab and durvalumab combined with tremelimumab as the preferred first-line treatment options for patients with HCC. Additionally, drugs such as sorafenib, lenvatinib, and durvalumab are also recommended for both first- and second-line therapies. The Chinese guidelines, adapted to the national context, recommend sintilimab combined with a bevacizumab biosimilar, camrelizumab combined with apatinib, durvalumab combined with tremelimumab, donafenib, lenvatinib, and sorafenib as first-line treatment options. For second-line therapies, they recommend regorafenib, apatinib, cabozantinib, camrelizumab, tislelizumab, pembrolizumab, nivolumab combined with ipilimumab, and ramucirumab. While these therapies have demonstrated efficacy in treating HCC, early detection, grading, and management of drug-induced liver injury (DILI) are critical to ensuring the successful implementation of anticancer treatment regimens. Both molecular targeted therapies and ICIs, as mainstay treatments for intermediate- and advanced-stage HCC and anti-recurrence therapies for early-stage HCC, have been reported to cause varying degrees of liver injury.

Hepatotoxicity associated with molecular targeted therapies and ICIs in HCC is primarily characterized by abnormalities in liver biochemical parameters, including elevated levels of alanine aminotransferase (ALT), aspartate aminotransferase (AST), and total bilirubin (TBIL). In severe cases, patients may experience hypoalbuminemia, coagulation dysfunction, ascites, and liver failure. The incidence rates of liver biochemical abnormalities induced by TKIs are as follows: ALT elevation, 8.97–17.13%; AST elevation, 13.66–24.60%; TBIL elevation, 9.64–18.92%.3–7 The VEGFR antagonist apatinib was associated with a higher incidence of liver injury compared to other TKIs, with the following rates: ALT elevation, 24.90%; AST elevation, 38.13%; TBIL elevation, 21.79%.5 Among patients treated with lenvatinib, approximately 7.8% experienced elevated alkaline phosphatase (ALP) levels, and 6.7% showed elevated gamma-glutamyl transpeptidase (GGT) levels.8 For sorafenib and regorafenib, rare cases of ascites and hypoalbuminemia have been reported, with an incidence of 4–7%.9 Furthermore, fatal hepatotoxicity has been reported with sorafenib, lenvatinib, cabozantinib, and ramucirumab.3,6,7

The incidence rates of ALT, AST, and TBIL elevations caused by PD-1 inhibitors, such as camrelizumab, pembrolizumab, and tislelizumab, ranged from 9.00–25.80%, 12.04–26.73%, and 9.03–19.35%, respectively.10–12 When PD-1 inhibitors are combined with CTLA-4 inhibitors, such as nivolumab and tremelimumab, for the treatment of unresectable hepatocellular carcinoma (uHCC), the reported rates of ALT, AST, and TBIL elevations were 9.28–16.33%, 12.37–20.41%, and 5.15%, respectively.13 For nivolumab combined with ipilimumab in uHCC, the rates of ALT and AST elevations were 12.84% and 17.57%, respectively.14

A meta-analysis of molecular targeted therapies combined with ICIs for the treatment of intermediate- to advanced-stage HCC revealed that the incidence of hepatotoxicity was higher with TKIs combined with ICIs compared to VEGF/VEGFR monoclonal antibodies combined with ICIs, with elevated TBIL being particularly common.15 The reported rates of ALT, AST, and TBIL elevations were 12.60–49.60%, 16.41–54.04%, and 26.84–42.65%, respectively.15 Among the regimens, atezolizumab combined with bevacizumab exhibited the lowest incidence of liver injury. The rates of Grade 3 or higher elevations in ALT, AST, and TBIL were 1.32–12.87%, 1.84–16.54%, and 5.00–8.82%, respectively.15 A real-world study conducted in Europe reported a liver injury incidence rate of 22.1 per 100 patient-years for the atezolizumab/bevacizumab regimen. Of these, Grade 1–2 liver injuries occurred at a rate of 14.2 per 100 patient-years, while Grade 3–4 liver injuries were observed in 8.6% of cases.16

The combination of TKIs and/or ICIs with transarterial chemoembolization (TACE) or hepatic arterial infusion chemotherapy (HAIC) is increasingly utilized in the clinical management of intermediate- to advanced-stage HCC. A retrospective study from China reported that in cases of liver injury caused by TACE combined with PD-1 inhibitors for advanced HCC, the rates of ALT, AST, and TBIL abnormalities were 29.8%, 44.6%, and 21.3%, respectively. Among these, 44.6% of patients also exhibited hypoalbuminemia, although no Grade 3 or higher TBIL abnormalities were observed.17 Fatal liver failure has been reported with TACE combined with camrelizumab in the treatment of hepatitis B virus (HBV) DNA-positive HCC with Barcelona Clinic Liver Cancer stage C.18

The rates of ALT and AST elevation associated with TKIs + ICIs combined with TACE for HCC treatment ranged from 24.24–46.30% and 14.60–30.80%, respectively.19–21 In a retrospective analysis by Han et al., data from 171 patients with uHCC were analyzed, including 45 in the TACE group, 76 in the TACE + TKIs group, and 50 in the TACE + TKIs + ICIs group. The rates of Grade 3 or higher ALT and AST elevations were 17.8%, 18.4%, 22.0% and 17.8%, 19.7%, 30.0%, respectively, with no statistically significant differences among the groups.22 Another study reported on 71 patients with advanced HCC treated with lenvatinib + toripalimab + HAIC, showing ALT and AST elevation rates of 64.79% and 69.01%, respectively.23 These findings suggest that liver injury incidence associated with TKIs + ICIs combined with HAIC is significantly higher than with other combination regimens.

Risk factors of liver injury induced by HCC molecular targeted drugs and ICIs

Underlying liver disease

Chronic HBV and hepatitis C virus (HCV) infections, along with impaired liver reserve function, are critical risk factors for hepatotoxicity induced by immune-targeted therapies. In patients with HBV- or HCV-associated HCC (HBV-HCC or HCV-HCC), the incidence rates of HBV reactivation (HBVr) and HCV reactivation (HCVr) during treatment with molecular targeted therapies combined with one or two ICIs were 9% and 10%, respectively.4 For patients not receiving antiviral therapy, the reactivation rates (HBVr or HCVr) were approximately five to eight times higher than those receiving antiviral treatment.24 The incidence of Grade 3 or higher liver injury during ICI therapy was significantly higher in patients with viral hepatitis compared to those without (28% vs. 6%, P = 0.023).25 Among patients with HBV-HCC treated with PD-1 inhibitors, the HBVr rate was approximately 5.3%.26 In HCV-HCC patients not receiving direct-acting antiviral agents (DAAs), CTLA-4 inhibitor therapy resulted in an HCVr rate of about 7.5%.27 Baseline liver reserve function is closely associated with the risk of hepatotoxicity caused by molecular targeted therapies. Sorafenib, lenvatinib, and regorafenib are more likely to induce liver injury in Child-Pugh B patients than in Child-Pugh A patients.28–30 Specifically, regorafenib is associated with a significantly higher rate of bilirubin elevation in Child-Pugh B patients compared to Child-Pugh A patients (15.3% vs. 3.6%).30

Genetic polymorphisms

Uridine diphosphate glucuronosyltransferase (UGT) 1A1 and UGT1A9 play distinct roles in the metabolism of sorafenib and regorafenib, respectively. In HCC patients carrying the UGT1A1*28 polymorphism, sorafenib has been reported to induce hyperbilirubinemia.31,32 UGT1A9 has been implicated in the onset and progression of regorafenib-related hepatotoxicity.33 Due to its potential for liver toxicity, regorafenib carries a black box warning issued by the U.S. Food and Drug Administration.34

Drug types

Among molecularly targeted therapies, apatinib exhibits the highest incidence of hepatotoxicity, with ALT, AST, and TBIL elevation rates of 24.90%, 38.18%, and 21.79%, respectively.5 In combination regimens, camrelizumab co-administered with apatinib demonstrated the highest rate of liver injury, with ALT, AST, and TBIL elevation rates of 46.69%, 54.04%, and 42.64%, respectively.35

Other factors

Age and concomitant medication use significantly impact ICI-associated hepatotoxicity. The risk of liver injury in individuals aged 30–50 years and 50–70 years is 4.9 times and 2.7 times higher, respectively, compared to those over 70 years. Additionally, concurrent use of acetaminophen increases the risk by 2.1 times.36

Assessment and management of liver reserve function and baseline liver disease before molecular targeted therapy and ICIs in HCC

Liver function assessment and management

Multiple guidelines recommend that patients eligible for molecular targeted therapy and ICIs for HCC should meet the following criteria: Child-Pugh score ≤ 7, ALT ≤ 3× upper limit of normal (ULN), and TBIL ≤ 1.5× ULN. The albumin-bilirubin score can also be used to evaluate liver reserve function, with Grades 1–2 indicating eligibility.37,38 For patients with significant liver injury, etiology-based treatment, anti-inflammatory therapy, and hepatoprotective measures should be implemented to improve liver function. In cases of cirrhosis accompanied by hypoalbuminemia, ascites, or esophagogastric varices with or without bleeding, effective symptomatic and supportive treatment may enable some patients to recover sufficiently to meet criteria for initiating therapy. After assessing and improving liver reserve function, an esophagogastroduodenoscopy can be performed to evaluate esophagogastric varices. If necessary, treatments such as endoscopic variceal ligation, sclerotherapy, or tissue adhesive therapy can be conducted. For patients with moderate to severe ascites or hepatic encephalopathy, active symptomatic and supportive treatments should be pursued, and anti-tumor therapy should only be considered once the condition stabilizes and meets required standards.

Baseline liver disease

  • Chronic HBV and HCV infections: For HBV-HCC, the Guidelines for the Prevention and Treatment of Chronic Hepatitis B (version 2022) recommend initiating first-line antiviral therapy at least one week before starting targeted or immune therapy to reduce or prevent HBVr-related liver injury.39 For HCV-HCC, early initiation of DAA therapy is advised, following the Guidelines for the Prevention and Treatment of Hepatitis C (version 2022).40

  • Autoimmune liver diseases: A systematic review reported that among 123 patients with autoimmune liver disease receiving ICIs for anti-tumor therapy, 75% experienced exacerbation of liver injury, with most improving after glucocorticoid treatment. Approximately 16% required additional immunosuppressive therapy.41 In another study, among 22 patients with autoimmune liver disease treated with ICIs, the incidence of liver injury was 13.6%, with no cases of Grade 3 or higher liver injury.42 Thus, coexisting autoimmune liver disease is not an absolute contraindication for ICIs but requires close monitoring.

  • DILI: For patients with a confirmed diagnosis of DILI who are in the active phase or undergoing anti-inflammatory and hepatoprotective treatment, initiating molecular targeted therapy or ICIs is not recommended. After discontinuation of suspected hepatotoxic drugs and with effective control of liver injury, molecular targeted therapy and/or ICIs may be cautiously used under close monitoring.

Recommendation 1: Prior to initiating molecular targeted therapy and/or ICIs in HCC patients, baseline liver disease should be assessed and managed. If the patient’s Child-Pugh score ≤ 7, ALT and AST ≤ 3× ULN, TBIL ≤ 1.5× ULN, and albumin≥ 30 g/L, molecular targeted therapies, ICIs, or combination regimens may be initiated (Grade A1).

Recommendation 2: All patients undergoing molecular targeted therapy and/or ICIs should be routinely screened for hepatitis B surface antigen (HBsAg), hepatitis B core antibody, and/or HBV DNA, as well as anti-HCV, prior to treatment initiation. Patients with positive anti-HCV should undergo further screening for HCV RNA (Grade A1).

Recommendation 3: For patients who are HBsAg-positive and/or HBV DNA-positive, antiviral therapy should be initiated at least one week before starting molecular targeted therapy and/or ICIs to reduce or prevent liver injury caused by virological reactivation (Grade A1). For patients with positive HCV RNA, DAA therapy can be administered either prior to or concurrently with anti-tumor treatment (Grade B1).

Pathogenesis

Mechanisms of molecular targeted therapy-induced liver injury

Liver injury induced by molecular targeted therapies is primarily classified as intrinsic or idiosyncratic DILI, with multiple coexisting pathogenic mechanisms. Potential mechanisms include:

(1) The drug and its metabolites may inhibit the function of hepatic drug-metabolizing transporters on the hepatocyte membrane, impairing drug metabolism.43–46 (2) Polymorphisms in drug-metabolizing enzymes, such as cytochrome P450 (CYP450) and UGT, are associated with increased risk of liver injury. Specifically, CYP2D6 and UGT1A9 polymorphisms may elevate susceptibility to hepatotoxicity.33,47 (3) Drug-induced mitochondrial damage can trigger mitochondrial permeability transition, leading to hepatocyte apoptosis and necrosis.48,49 (4) Drugs may induce excessive reactive oxygen species generation through mechanisms such as mitochondrial damage, leading to macromolecule damage (proteins, nucleic acids), glutathione depletion, and disrupted intracellular homeostasis, ultimately contributing to liver injury.50–52 (5) Both innate and adaptive immune responses are implicated in liver injury.53–57 Human leukocyte antigen-DRB1*07:01 and human leukocyte antigen-B*57:01 have been associated with increased risk of hepatotoxicity.58,59 (6) TKIs are metabolized via the CYP450 pathway, generating reactive metabolites and drug-protein adducts that induce mitochondrial dysfunction, oxidative stress, and endoplasmic reticulum stress. These insults lead to the release of damage-associated molecular patterns (DAMPs), including high mobility group box 1, heat shock proteins, S100 proteins, and ATP, which activate innate immune components such as Kupffer cells, neutrophils, natural killer cells, natural killer T cells, and mast cells. This immune activation contributes to hepatocyte injury, immune cell recruitment, and stimulation of adaptive immunity. Reactive metabolites and drug-protein adducts can be presented by antigen-presenting cells, activating T cells, while damage-associated molecular patterns further stimulate antigen-presenting cells. A reduction in regulatory T cells impairs immune tolerance, exacerbating immune-mediated liver injury (Fig. 1).

Mechanisms and related cellular and molecular pathways of liver injury caused by targeted therapy and ICIs, alone or in combination.
Fig. 1  Mechanisms and related cellular and molecular pathways of liver injury caused by targeted therapy and ICIs, alone or in combination.

Tyrosine kinase inhibitors (TKIs) are metabolized via the cytochrome P450 pathway, which may be associated with the production of toxic intermediates. These drugs can also induce oxidative stress and activate apoptotic pathways, leading to the activation of immune responses. Immune checkpoint inhibitors (ICIs) deplete Treg cells, inducing a reduction of anti-inflammatory cytokines and proliferation of CD8+ T cells. ATP, adenosine triphosphate; CTLA-4, cytotoxic T-lymphocyte-associated protein 4; CYP450, cytochrome P450; DAMPs, damage-associated molecular patterns; TCR, T cell receptor; TKIs, tyrosine kinase inhibitors; VEGF, vascular endothelial growth factor; GSH, glutathione; HMGB1, high mobility group B1; UGT1A9, uridine diphosphate glucuronosyltransferase 1A9; ROS, reactive oxygen species.

Mechanisms of ICIs-associated liver injury

Immune-mediated ILICI is classified as indirect hepatotoxicity. Although its exact mechanisms remain incompletely understood, T cell-mediated immune responses are considered the primary driver. Potential mechanisms include: (1) ICIs enhance T lymphocyte immunity, creating the overlap between tumor-associated and normal tissue antigens. CD8+ T cells may attack normal tissues and organs.60–64 (2) CTLA-4 inhibitors bind CTLA-4 on regulatory T cells, leading to regulatory T cell depletion via antibody-dependent cellular cytotoxicity and reduced secretion of anti-inflammatory cytokines.60,65,66 (3) ICIs influence recruitment of multiple helper T cell subsets, including Th1, Th2, and Th17. For example, CTLA-4 inhibitors can induce Th1 proliferation, activating cytotoxic T lymphocytes and innate immune cells (Fig. 1).60,66,67 The role of humoral immunity and other factors in ILICI remains unclear.

Clinical manifestations

Clinical symptoms

Liver injury induced by molecular targeted therapies and ICIs is a form of DILI and can be classified as hepatocellular, cholestatic, or mixed. Liver injury typically occurs within four to twelve weeks after initiating molecular targeted therapy or after one to three cycles of ICI treatment.68 CTLA-4 inhibitors are associated with more severe liver injury than PD-1/PD-L1 inhibitors and tend to cause symptoms earlier (three weeks vs. 14 weeks). Fever is more commonly observed with CTLA-4 inhibitors than with PD-1/PD-L1 inhibitors (71% vs. 11%).69 Mild cases are often asymptomatic. Some patients may present with nonspecific symptoms, including fever, fatigue, loss of appetite, nausea, discomfort in the liver area, and weight loss. Bilirubin elevation may cause yellowing of the skin, sclera, and urine. Severe cases progressing to liver failure may exhibit progressive jaundice, petechiae, ecchymosis, ascites, peritoneal infections, and hepatic encephalopathy.68,70,71

Common extrahepatic adverse reactions to molecular targeted therapies include: Cardiovascular system involvement may induce hypertension. Renal involvement may manifest as proteinuria and elevated creatinine levels. Involvement of the skin and mucous membranes presents with hand-foot syndrome and rashes. When the gastrointestinal tract is involved, abdominal pain, diarrhea, and other manifestations of colitis may occur. Hematologic system involvement can cause pancytopenia, with thrombocytopenia being the most common.

Treatment with ICIs can affect multiple extrahepatic organs. Pulmonary involvement may manifest as immune-related pneumonitis or interstitial pneumonia. Skin and mucosal reactions may include rashes, pruritus, vascular lesions such as telangiectasia, and immune-related cheilitis. Cardiac complications may present as hypertension or immune-mediated myocarditis. Pancreatic involvement can lead to pancreatitis. Endocrine system involvement may present as hypothyroidism, hyperthyroidism, hypophysitis, adrenal insufficiency, or diabetes.

Laboratory tests

In HCC patients receiving molecular targeted therapy and/or ICIs, liver injury is primarily characterized by elevated liver biochemical markers. In severe cases, decreased albumin and prolonged prothrombin time may occur, while complete blood counts generally remain unchanged.

  • Liver biochemical markers: ALT, AST, TBIL, ALP, and GGT are commonly elevated. Markers of liver synthetic function, such as albumin and cholinesterase, may decline in severe cases.

  • Coagulation markers: Prothrombin time, international normalized ratio, and activated partial thromboplastin time may be prolonged. When prothrombin activity falls below 40%, the patient has progressed to liver failure, requiring immediate drug discontinuation and hepatoprotective treatment.

  • Renal and bone marrow involvement: Renal impairment may present as elevated creatinine, blood urea nitrogen, and proteinuria. Bone marrow involvement may cause leukopenia and thrombocytopenia.

  • Viral hepatitis markers: In cases of viral reactivation, elevated HBV DNA or HCV RNA may be detected.

Liver histopathology

Liver biopsy may be considered in the following scenarios: (1) When liver injury cannot be definitively attributed to HCC treatment and further investigation is needed to determine the underlying cause; (2) In cases of suspected ILICIs, where liver biochemical markers continue to rise or liver function deteriorates despite discontinuing ICIs and administering glucocorticoid therapy; (3) When liver injury is suspected to be associated with the progression of pre-existing disease after effective etiological treatment, such as antiviral therapy for HBV or HCV.72–74

  • Molecular targeted therapy-associated liver injury: Liver injury induced by molecular targeted therapies shares histopathological features with DILI caused by other agents. It can manifest as hepatocellular, cholestatic, or mixed types, with lobular hepatocyte inflammation or necrosis. Severe cases may show confluent necrosis and/or bridging necrosis, accompanied by inflammatory bile duct injury, varying degrees of portal tract inflammation, and fibrosis.33,7578

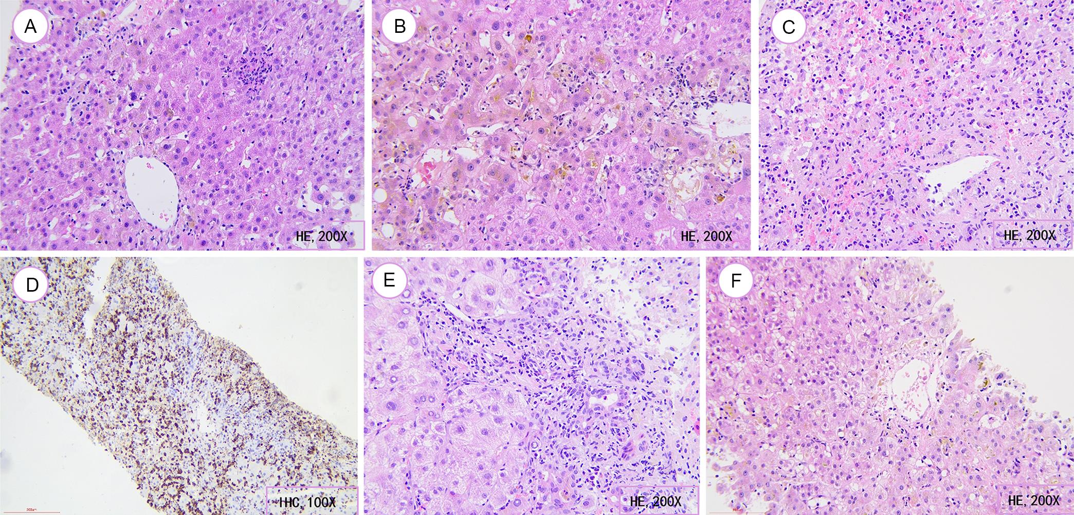
  • ILICI: ILICI can be classified into IMH and IMC. Liver injury associated with PD-1/PD-L1 inhibitors may present as IMH, IMC, or a combination. CTLA-4 inhibitor-induced liver injury is generally more severe, predominantly manifesting as IMH. PD-1/PD-L1 inhibitor-associated liver injury exhibits significant histopathological heterogeneity, including varying degrees of lobular and/or portal inflammation, hepatocyte swelling with vacuolar degeneration, and focal necrosis. Bridging necrosis is rare, and some hepatocytes may show intracellular cholestasis. The inflammatory infiltrate primarily consists of CD4+ and CD8+ T cells, with occasional central vein endothelialitis.69,79,80 In some cases, nodular regenerative hyperplasia and steatosis have been observed.79,81 Severe liver injury may show portal fibrosis or lymphocytic cholangitis, leading to vanishing bile duct syndrome (Fig. 2). CTLA-4 inhibitor-associated granulomatous hepatitis is characterized by extensive lobular injury, including sinusoidal histiocytic proliferation and inflammatory endothelialitis of the central vein. Fibroid granulomatous hepatitis exhibits a fibrin-ring morphology, composed of epithelioid cells with a central lipid vacuole surrounded by macrophages, encased by a fibrin ring, with an outermost layer of histiocytes. The inflammatory infiltrate primarily consists of CD8+ T cells, often accompanied by central venous dermatitis.79 IMC presents with mild to moderate portal inflammation without prominent interface hepatitis and rare plasma cells. Biliary epithelial cell injury and detachment may occur, occasionally leading to bile duct loss.69,79

Common histopathological features of immune checkpoint inhibitor-mediated liver injury.
Fig. 2  Common histopathological features of immune checkpoint inhibitor-mediated liver injury.

(A) Focal central lobular necrosis with waxy cells (HE 200×); (B) Lobular inflammation with hepatocellular and canalicular cholestasis (HE 200×); (C) Confluent hepatocyte necrosis and bridging necrosis (HE 200×); (D) CD8+ lymphocytic infiltration around necrotic areas and central veins (IHC 100×); (E) Biliary inflammation (HE 200×); (F) Central lobular venulitis with focal endothelial injury and hepatocellular cholestasis (HE 200×). HE, hematoxylin-eosin staining; IHC, immunohistochemical staining.

Ultrasound imaging features of the liver and biliary system

Liver injury induced by molecular targeted therapies and ICIs generally lacks characteristic imaging findings. In patients with PD-1 inhibitor-associated liver injury, ultrasound may reveal non-specific abnormalities such as hepatic steatosis, hepatomegaly, perivascular edema around the portal vein, gallbladder edema, and lymphadenopathy in the peripheral portal vein or retroperitoneal region.82 In cases of liver failure, imaging may show hepatic atrophy, increased echogenicity and density of uneven liver parenchyma, and an inhomogeneous texture, often accompanied by tortuous and rigid hepatic veins.

Diagnosis and differential diagnosis

Diagnosis

In HCC patients receiving molecular targeted therapy for more than one week or ICIs for four to twelve weeks, a diagnosis of DILI can be established if two or more of the following criteria are met: (1) Presence of symptoms such as fever, fatigue, nausea, or generalized discomfort, accompanied by abnormal liver biochemical markers (including ALT, AST, ALP, GGT, TBIL, albumin, etc.); (2) Meeting the diagnostic criteria for DILI on the Roussel Uclaf Causality Assessment Method scale; (3) Liver injury improves upon dose reduction or discontinuation of therapy, worsens with continued use, or recurs upon rechallenge after liver function recovery; (4) Presence of hypertension, diarrhea, immune-related pneumonitis, myocarditis, or pancreatitis, indicating multi-organ toxicity associated with TKIs or ICIs; (5) Liver histopathology suggests features consistent with DILI or ICIs-associated liver injury.

Severity classification

Referring to the Common Terminology Criteria for Adverse Events,83 the Drug-induced Liver Injury Network established in the United States in 2003,84 and the Chinese Guideline for the Diagnosis and Management of Drug-induced Liver Injury (2023 version),73 an optimized grading system has been proposed for assessing the severity of molecular targeted therapy and ICIs-associated liver injury in HCC patients (Table 2).

Table 2

Optimized Grading of Liver Injury Associated with Targeted Therapy and Immune Checkpoint Inhibitors in HCC

ItemsGrading of Liver Injury
Grade 1Grade 2Grade 3Grade 4
Symptoms and SignsNo significant fatigue or gastrointestinal symptomsMild fatigue, decreased appetite, mild jaundice, and right upper abdominal pain/tendernessSignificant fatigue, poor appetite, nausea, and jaundice.Extreme fatigue, pronounced jaundice; signs of hepatic decompensation/liver failure, including ascites, hepatic encephalopathy, bleeding tendency, and multiple organ failure, among others.
Liver Biochemical Markers (Based on baseline levels within three months prior to onseta)ALT, AST (xULN)>1–3>3–5>5–20>20
ALP, GGT (xULN)>1–2>2–5>5–20>20
TBil (xULN)>1.0–1.5>1.6–3.0>3.0–10.0>10.0
Coagulation functionNormalPTA > 60%, INR within the normal range.40% < PTA ≤ 60%, INR < 1.5PTA ≤ 40% and/or INR ≥ 1.5
Treatment requirements and prognosisContinue anti-HCC therapyDiscontinue HCC-targeted therapy and provide symptomatic hepatoprotective treatment.Hospitalization/extended hospital stay (<26 weeks).Liver transplant or death

Differential diagnosis

  • Viral hepatitis reactivation: For patients with chronic HBV or HCV in a stable phase, liver biochemical abnormalities accompanied by HBV DNA or HCV RNA rebound before anti-tumor therapy suggest viral reactivation. Prompt initiation or adjustment of antiviral therapy can mitigate liver injury.

  • Other drug-related DILI: During treatment with molecular targeted therapies and ICIs, the concurrent use of chemotherapeutic agents, antibiotics, lipid-lowering drugs, psychotropic medications, traditional Chinese herbal medicines, or dietary supplements may contribute to DILI. Discontinuation of the suspected drug and anti-inflammatory/hepatoprotective therapy may lead to recovery.

  • Autoimmune hepatitis: Liver injury in autoimmune hepatitis is characterized by elevated ALT and AST, presence of serum autoantibodies (such as antinuclear antibodies, anti-neutrophil cytoplasmic antibodies, anti-smooth muscle antibodies, and anti-actin antibodies), and elevated serum globulin levels.85

  • HCC progression: Liver biochemical abnormalities may result from hepatic metastases, portal vein thrombosis, or biliary obstruction. Imaging studies can assess tumor progression. A retrospective study of 491 HCC patients treated with pembrolizumab reported a 14.3% incidence of liver injury, with 52.9% attributed to intrahepatic HCC metastases rather than IMH.86

  • Myocarditis/myositis: When AST is significantly higher than ALT, without concurrent elevation of ALP, GGT, or TBIL, ICIs-related myocarditis or myositis should be considered.

Recommendation 4: During treatment with molecular targeted therapy, ICIs, or combination regimens for HCC, liver biochemical and coagulation markers should be monitored every two to three weeks (or at each ICI treatment cycle) (Grade A1).

Recommendation 5: Liver biopsy should be considered in HCC patients receiving molecular targeted therapy and/or ICIs under the following conditions: (1) Liver injury cannot be clearly attributed to anti-tumor therapy, necessitating further investigation; (2) Liver injury persists or worsens after discontinuation of therapy and administration of anti-inflammatory, hepatoprotective, or glucocorticoid treatment (Grade B2).

Recommendation 6: In cases of new-onset liver injury or progression of pre-existing liver damage during therapy, contrast-enhanced computed tomography (CT), magnetic resonance imaging (MRI), and tumor markers such as alpha-fetoprotein and des-gamma-carboxy prothrombin should be assessed to exclude liver function deterioration caused by tumor progression (Grade A1).

Management of molecular targeted therapy- and/or ICIs-associated liver injury in HCC

Once liver injury associated with molecular targeted therapy and/or ICIs occurs in HCC patients, management should be stratified based on severity. The fundamental principles include: (1) Immediate administration of anti-inflammatory and hepatoprotective therapy upon the occurrence of drug-related liver injury; (2) Risk-benefit assessment of discontinuing medications and switching to glucocorticoid therapy based on the severity of liver injury; (3) Immediate discontinuation of therapy in cases of Grades 3–4 liver injury, with consideration to avoid using similar anti-tumor agents.

According to the Chinese Guideline for the Diagnosis and Management of Drug-induced Liver Injury (2023 version)73 and recent clinical research advances, anti-inflammatory and hepatoprotective agents primarily include two types: anti-inflammatory and choleretic drugs. Anti-inflammatory and enzyme-lowering agents include bicyclol, diammonium glycyrrhizinate, compound glycyrrhizin, magnesium isoglycyrrhizinate, silibinin, and silymarin. Hepatocyte membrane stabilizers and protective agents include polyene phosphatidylcholine.87 Choleretic and anti-jaundice agents include adenosylmethionine88 and ursodeoxycholic acid. N-acetylcysteine may be administered in cases of severe liver failure. Ornithine aspartate can help lower ammonia levels in patients with hepatic encephalopathy, and artificial liver support therapy may be required in critical situations. Additionally, patients with liver failure caused by adjuvant therapy during the perioperative period of HCC may be considered for a liver transplant.

A real-world retrospective study (GM-DILI-002) included 1,710 patients with malignancies, among whom 633 had HCC, receiving molecular targeted therapy or ICIs. The study compared magnesium isoglycyrrhizinate and glucocorticoids for treating liver injury. The normalization rates of ALT, AST, and TBIL were 57.9%, 42.1%, and 61.4% in the magnesium isoglycyrrhizinate group, and 70.2%, 57.9%, and 75.4% in the glucocorticoid group, respectively. Differences in treatment efficacy between the two groups were not statistically significant.89

Assessment and management of molecular targeted therapy-associated liver injury in HCC

Specific drug adjustment principles according to the grading of liver injury are detailed in Table 3.

Table 3

Recommended Dosage and Adjustment Principles for Molecular Targeted Therapy in Hepatocellular Carcinoma

Drug TypeRecommended DosageNumber of Occurrences of Grades 2–3 Liver Injury and Dose Adjustment Principles
LenvatinibWeight < 60 kg, 8 mg/d, oralFirst occurrence: 4 mg once daily; Second occurrence: 4 mg every other day; Third occurrence: Discontinue the drug
Weight ≥ 60 kg, 12 mg/d, oralFirst occurrence: 8 mg once daily; Second occurrence: 4 mg once daily; Third occurrence: 4 mg every other day
Sorafenib400 mg, oral, twice daily;400 mg, once daily; or discontinue the drug;
Regorafenib160 mg, once daily, oral administration for 21 days, followed by a 7-day break, 28 days as a course of treatment120 mg, once daily; or reduce to 80 mg, once daily; or discontinue the drug.
Apatinib750 mg, oral, once dailyFirst occurrence: 500 mg, once daily; Second occurrence: 250 mg, once daily; or discontinue the drug.
  • Grade 1 liver injury: Active anti-inflammatory and hepatoprotective therapy is recommended, and molecular targeted therapy can be continued. Liver biochemical markers should be monitored every one to two weeks until normalization.90

  • Grade 2 liver injury: Anti-inflammatory and hepatoprotective therapy should be administered. For drugs such as lenvatinib, apatinib, and regorafenib, dose reduction may be considered. Liver biochemical and coagulation markers should be monitored every one to two weeks.

  • Grade 3 liver injury: Molecular targeted therapy should be temporarily discontinued, and anti-inflammatory, hepatoprotective, and supportive therapy should be initiated. Liver biochemical and coagulation markers should be monitored every three days. If liver function returns to normal and remains stable for one to two weeks, therapy may be reinitiated,90 with dose reduction considered for lenvatinib and apatinib.

  • Grade 4 liver injury: Molecular targeted therapy should be permanently discontinued, and aggressive anti-inflammatory, hepatoprotective, and supportive therapy should be administered immediately. If necessary, plasma exchange or the double plasma molecular adsorption system combined with plasma exchange artificial liver support therapy may be considered. Liver biochemical, renal function, and coagulation markers should be monitored every one to three days until liver function normalizes and remains stable for at least two weeks. If the benefit-risk ratio favors continued treatment, reinitiating a different class of molecular targeted therapy may be considered.

Recommendation 7: For Grade 1 liver injury induced by molecular targeted therapy, drug discontinuation is not required. Oral anti-inflammatory and hepatoprotective therapy should be administered, and liver biochemical markers monitored every one to two weeks. For Grade 2 liver injury, dose reduction of the targeted therapy may be considered, along with intensive anti-inflammatory and hepatoprotective treatment until liver function normalizes (Grade A1).

Recommendation 8: For Grade 3 liver injury, dose reduction or temporary discontinuation of molecular targeted therapy is recommended, along with anti-inflammatory, hepatoprotective, and supportive therapy. Liver function should be monitored every three days. For Grade 4 liver injury, permanent drug discontinuation and aggressive anti-inflammatory, hepatoprotective, and supportive therapy are necessary. Liver function, coagulation markers, and blood ammonia levels should be monitored every one to three days, and artificial liver support therapy should be considered if needed (Grade A1).

Management of ICIs-associated liver injury

ICIs-associated liver injury is predominantly IMH, and glucocorticoid therapy is the primary treatment for Grades 3–4 liver injury. A Spanish clinical trial involving 21 patients with HCV-HCC reported a 70% incidence of liver injury following tislelizumab treatment, with Grade ≥ 3 liver injury occurring in 45% of cases. Notably, none of the patients received glucocorticoid therapy, and liver biochemical markers gradually returned to normal.91

Graded management of ICIs-associated liver injury:

  • Grade 1 liver injury: Discontinuation of ICIs is not required. Liver biochemical markers should be monitored weekly. Oral anti-inflammatory and hepatoprotective therapy may be considered. Once liver function normalizes, hepatoprotective treatment can be discontinued.

  • Grade 2 liver injury: ICIs and any other potentially hepatotoxic drugs should be temporarily discontinued. Aggressive hepatoprotective therapy should be initiated. Liver biochemical markers should be monitored every three days. ICI therapy may be reinitiated once liver function returns to normal and remains stable for one to two weeks.

  • Grade 3 liver injury: ICIs should be discontinued. Liver biochemical markers should be monitored every one to two days. Anti-inflammatory, hepatoprotective, and supportive therapy should be administered. If liver injury continues to progress or does not respond adequately, glucocorticoid therapy should be initiated at a starting dose of methylprednisolone 0.5–1.0 mg/kg/day or an equivalent glucocorticoid.92 Upon clinical improvement, oral prednisone 0.5–1.0 mg/kg/day may be used. If liver injury worsens during tapering, the dose should be increased.

  • Grade 4 liver injury: Permanent discontinuation of ICIs is recommended. Liver biochemical, renal function, and coagulation markers should be monitored daily. Glucocorticoid therapy should be administered at 1–2 mg/kg/day. If no improvement occurs after ≥3 days of intravenous glucocorticoids, an immunosuppressant such as mycophenolate mofetil (500–1,000 mg orally twice daily) should be added. If mycophenolate mofetil is ineffective, tacrolimus combination therapy may be considered. Artificial liver support therapy should be initiated if necessary. Once liver injury improves to Grade 1 or below, glucocorticoids should be gradually tapered over four to six weeks, with a total treatment duration of at least four weeks.

An Italian study involving 58 HCC patients treated with ICIs reported that nine patients developed Grade ≥ 3 liver injury. Among them, six patients restarted ICIs therapy after liver injury resolved to Grade ≤ 1, and no recurrence was observed.25 Based on these findings, restarting ICIs after recovery from Grades 3–4 liver injury may be considered on a case-by-case basis.

Steroid-refractory ILICI: Steroid-refractory immune-mediated hepatitis is characterized by persistent liver dysfunction despite three to seven days of glucocorticoid therapy. In such cases, mycophenolate mofetil or azathioprine is recommended.93,94 If glucocorticoid plus mycophenolate mofetil is ineffective or not tolerated, tacrolimus may be considered.95 For patients receiving prednisone ≥ 30 mg/kg/d or requiring long-term glucocorticoid or immunosuppressant therapy for more than three weeks, an H2-receptor antagonist should be administered to prevent stress ulcers. In cases where IMC coexists, ursodeoxycholic acid may be added to the immunosuppressive regimen.

Recommendation 9: For Grade 1 ILICI, discontinuation of ICIs is not required. Oral anti-inflammatory and hepatoprotective agents, such as bicyclol, polyene phosphatidylcholine, silymarin, diammonium glycyrrhizinate, and compound glycyrrhizin, may be administered. Liver biochemical markers should be monitored weekly until stable for one to two weeks (Grade C1).

Recommendation 10: For Grade 2 ILICI, ICI therapy should be temporarily discontinued. Anti-inflammatory and hepatoprotective agents, such as magnesium isoglycyrrhizinate and polyene phosphatidylcholine, should be administered. Liver biochemical markers should be monitored every three days, and ICIs therapy may be resumed once liver function stabilizes for one to two weeks (Grade B1).

Recommendation 11: For Grade 3 ILICI, ICI therapy should be discontinued, and liver biochemical and coagulation markers monitored every one to two days. Anti-inflammatory and hepatoprotective therapy should be administered, and glucocorticoid therapy (0.5–1.0 mg/kg/day, orally or intravenously) may be initiated if necessary. Once improvement is observed, oral prednisone should be used with gradual tapering until liver function normalizes. Restarting ICIs therapy with a different PD-1 or PD-L1 antibody may be considered if liver function remains stable for one to two weeks (Grade B2).

Recommendation 12: For Grade 4 ILICI, ICI therapy should be permanently discontinued. Immediate intravenous methylprednisolone (1–2 mg/kg/day) should be administered with hospitalization. Liver biochemical and coagulation markers should be monitored daily. Once liver injury improves to Grade 1, switch to an equivalent dose of oral prednisone, followed by gradual tapering, with a total treatment duration of at least four weeks (Grade A1).

Recommendation 13: For steroid-refractory immune-mediated hepatitis, glucocorticoids should be combined with immunosuppressants such as mycophenolate mofetil, azathioprine, or tacrolimus. Artificial liver support therapy should be considered when necessary (Grade B2).

Management of liver injury associated with molecular targeted therapy combined with ICIs in HCC

For liver injury occurring in the context of molecular targeted therapy combined with ICIs, it is essential to identify and differentiate the primary causative agent and manage the condition according to the previously outlined recommendations. For ICIs combined with other anti-tumor therapies, such as TACE or HAIC, a comprehensive evaluation of etiology and liver injury severity should guide the timely implementation of effective anti-inflammatory and hepatoprotective measures. In cases of Grade 3 or 4 liver injury, the decision to restart molecular targeted therapy and/or ICIs and the selection of an appropriate treatment strategy should be based on the primary causative factor. If liver injury is not attributed to ICIs, ICIs therapy may be reinitiated after liver function recovery.

Recommendation 14: For liver injury associated with combination therapy involving molecular targeted agents and ICIs, the primary causative agent should first be identified. Management should follow a stepwise approach, referring to the grading system and corresponding management strategies in this consensus and the Chinese Guideline for the Diagnosis and Treatment of Drug-induced Liver Injury (2023 version)79 (Grade C1).

Follow-up and prognosis

For patients whose liver function has normalized and remained stable for more than two weeks after adjusting molecular targeted therapy, ICIs treatment, or discontinuing the drug, follow-up should be conducted every four to six weeks. Comprehensive reassessment should include complete blood count, liver and kidney function tests, tumor markers, and contrast-enhanced abdominal CT or MRI.96,97 Additionally, chest CT and bone scans should be performed every six to twelve months.98 For HBV-HCC patients, serum HBsAg and HBV DNA levels should be re-evaluated every three to six months, and the follow-up plan adjusted accordingly.

The prognosis of liver injury induced by molecular targeted therapy in HCC is generally similar to that of conventional DILI. Grade 1–2 ILICI is typically well managed with timely intervention and does not lead to adverse outcomes. For Grade ≥ 3 ILICI, 70–80% of patients achieve ALT normalization within 23–46 days following glucocorticoid therapy, whereas 20–30% show a poor treatment response, with ALT normalization occurring within 42–70 days using higher glucocorticoid doses or additional immunosuppressant treatment.99,100 A study involving 536 patients receiving PD-1/PD-L1 and/or CTLA-4 inhibitors reported a Grade ≥ 3 liver injury incidence of 3.5% (19 cases). Among these, 38% recovered spontaneously after ICIs discontinuation, while most of the remaining cases normalized liver biochemical markers with low-dose glucocorticoid therapy (0.5–1.0 mg/kg). Only one patient required high-dose glucocorticoids combined with immunosuppressive therapy for improvement.69

Recommendation 15: For HCC patients who develop liver injury induced by molecular targeted therapy and/or ICIs, regular follow-up should be conducted after drug discontinuation or once liver function normalizes. Liver biochemical markers, coagulation function, and abdominal CT or MRI should be reassessed every four to six weeks. Chest CT should be performed every six to twelve months, and PET-CT or bone scans should be conducted as needed to monitor tumor progression and metastasis in both the liver and extrahepatic sites (Grade B1).

Management flowchart

The management flowchart for molecular targeted therapy and/or ICIs treatment in HCC is illustrated in Figure 3.

Management Workflow for Molecular Targeted Therapy and ICI Associated Liver Injury in HCC.
Fig. 3  Management Workflow for Molecular Targeted Therapy and ICI Associated Liver Injury in HCC.

HCC, hepatocellular carcinoma; ICIs, immune checkpoint inhibitors; ALT, alanine aminotransferase; AST, aspartate aminotransferase; ULN, upper limit of normal; Alb, albumin; PD-1, programmed cell death protein 1; PD-L1, programmed cell death ligand 1.

Unresolved clinical questions and future research directions

  • Molecular mechanisms underlying molecular targeted therapy- and ICIs-associated liver injury in HCC.

  • Variability in liver injury susceptibility among patients receiving different molecular targeted agents or ICIs, and the relationship between host genetic polymorphisms and liver injury risk.

  • High-sensitivity and high-specificity serum biomarkers for monitoring and early diagnosis of HCC-related liver injury induced by molecular targeted therapy and ICIs.

  • The potential role of prophylactic hepatoprotective agents in preventing molecular targeted therapy- and ICIs-associated liver injury.

  • Differences in the incidence and pathogenesis of liver injury across different HCC stages under targeted therapy and/or ICIs treatment.

Declarations

Acknowledgement

List of Expert Group Members (in order of the pinyin Romanization of the individual’s last name): Jihong An (Inner Mongolia People’s Hospital), Hongsong Chen (Peking University People’s Hospital), Yu Chen (Beijing YouAn Hospital, Capital Medical University), Yu Chen (Fujian Cancer Hospital), Shuangsuo Dang (The Second Affiliated Hospital of Xi’an Jiaotong University), Huiguo Ding (Beijing YouAn Hospital, Capital Medical University), Jiangao Fan (Xinhua Hospital Affiliated to Shanghai Jiaotong University School of Medicine), Qingchun Fu (Shanghai Public Health Clinical Center), Yanhang Gao (The First Affiliated Hospital of Jilin University), Yabing Guo (Nanfang Hospital, Southern Medical University), Tao Han (Tianjin Union Medical Center, Nankai University), Peng Hu (The First Affiliated Hospital of Chongqing Medical University), Heping Hu (The Third Affiliated Hospital of Naval Medical University), Haiqing Hua (Eastern Theater General Hospital), Sha Huang (Fujian Cancer Hospital), Yuan Huang (Beijing Tsinghua Changgung Hospital, Tsinghua University), Weidong Jia (The First Affiliated Hospital of USTC, University of Science and Technology of China), Jidong Jia (Beijing Friendship Hospital, Capital Medical University), Jun Li (The First Affiliated Hospital of Zhejiang University School), Jie Li (Nanjing Drum Tower Hospital, Nanjing University), Jun Li (The First Affiliated Hospital of Nanjing Medical University), Rongkuan Li (The Second Affiliated Hospital of Dalian Medical University), Shuchen Li (The Second Affiliated Hospital of Harbin Medical University), Wencong Li (Hebei Medical University Third Hospital), Shumei Lin (The First Affiliated Hospital of Xi’an Jiaotong University), Hui Liu (Beijing YouAn Hospital, Capital Medical University), Mei Liu (Beijing YouAn Hospital, Capital Medical University), Jingfeng Liu (Fujian Cancer Hospital), Lingdi Liu (Hebei Medical University Third Hospital), Xiaojing Liu (The First Affiliated Hospital of Xi’an Jiaotong University), Zhihong Liu (The First Affiliated Hospital of Guangxi Medical University), Fengmin Lu (Peking University Health Science Center), Xiaobo Lu (The First Affiliated Hospital of Xinjiang Medical University), Lungen Lu (Shanghai General Hospital, Shanghai Jiao Tong University School of Medicine), Xinhua Luo (Guizhou Provincial People’s Hospital), Xiong Ma (Renji Hospital Affiliated to Shanghai Jiao Tong University School of Medicine), Yimin Mao (Renji Hospital Affiliated to Shanghai Jiao Tong University School of Medicine), Yuemin Nan (Hebei Medical University Third Hospital), Zhi Peng (The Second Affiliated Hospital of Chongqing Medical University), Huiying Rao (Peking University People’s Hospital), Hong Ren (The Second Affiliated Hospital of Chongqing Medical University), Wanhua Ren (Shandong Provincial Hospital), Jia Shang (Henan Provincial People’s Hospital), Li Shi (Tibet Autonomous Region People’s Hospital), Minghua Su (The First Affiliated Hospital of Guangxi Medical University), Jie Wang (Peking University Health Science Center), Lei Wang (The Second Affiliated Hospital of Shandong University), Lai Wei (Beijing Tsinghua Changgung Hospital, Tsinghua University), Chao Wu (Nanjing Drum Tower Hospital, Nanjing University School), Wen Xie (Beijing Ditan Hospital, Capital Medical University), Yao Xie (Beijing Ditan Hospital, Capital Medical University), Jinghang Xu (The First Hospital of Peking University), Xiaoyuan Xu (The First Hospital of Peking University), Ming Yang (Beijing Tsinghua Changgung Hospital, Tsinghua University), Ji-Ming Yang (Tianjin Second People’s Hospital), Changqing Yang (Tongji Hospital, Shanghai), Hong You (Beijing Friendship Hospital, Capital Medical University), Dazhi Zhang (The Second Affiliated Hospital of Chongqing Medical University), Liaoyun Zhang (The First Hospital of Shanxi Medical University), Lingyi Zhang (The Second Affiliated Hospital of Lanzhou University), Xinxin Zhang (Ruijin Hospital Affiliated to Shanghai Jiao Tong University School of Medicine), Yuexin Zhang (The First Affiliated Hospital of Xinjiang Medical University), Jingmin Zhao (Fifth Medical Center, PLA General Hospital), Suxian Zhao (Hebei Medical University Third Hospital), Guangde Zhou (Beijing YouAn Hospital, Capital Medical University), Yongjian Zhou (Guangzhou First People’s Hospital), Hongmei Zu (The Fourth People’s Hospital of Qinghai Province), Weize Zuo (The First Affiliated Hospital of Shihezi University School of Medicine), Hui Zhuang (Peking University Health Science Center).

Ethical statement

All clinical images included in this article were de-identified and obtained from institutional archives with approval from the institutional review board, and it conformed to the Declaration of Helsinki. The requirement for individual informed consent was waived due to the retrospective and non-interventional nature of this review.

Funding

This work is funded by S&T Program of Hebei Province (23377705D), The Introduction of Foreign Intelligence Program in Hebei Province (2024), Hebei Province Medical Applicable Technology Tracking Project, and Medical Science Research Project of Hebei (GZ2024048).

Conflict of interest

LW and JJ have been Executive Associate Editors of Journal of Clinical and Translational Hepatology since 2013, HY and YN, JL have been Editorial Board Members of Journal of Clinical and Translational Hepatology since 2021, 2022 and 2024. The other authors have no conflict of interests related to this publication.

Authors’ contributions

All authors contributed to the study conception and design. Material preparation, data collection and analysis were performed by SZ, YG, LW, JJ, HY, ZD, HZ, YN, XX and JL. The first draft of the manuscript was written by JL, LL, SZ, HS, YC and ML and all authors commented on previous versions of the manuscript. All authors have read and approved the final version and publication of the manuscript.

References

  1. Bureau of Medical Administration, National Health Commission of the People’s Republic of China. Guideline for diagnosis and treatment of primary liver cancer (2024 version). Zhonghua Gan Zang Bing Za Zhi 2024;32(7):581-630 View Article PubMed/NCBI
  2. Gordan JD, Kennedy EB, Abou-Alfa GK, Beg MS, Brower ST, Gade TP, et al. Systemic Therapy for Advanced Hepatocellular Carcinoma: ASCO Guideline. J Clin Oncol 2020;38(36):4317-4345 View Article PubMed/NCBI
  3. Kudo M, Finn RS, Qin S, Han KH, Ikeda K, Piscaglia F, et al. Lenvatinib versus sorafenib in first-line treatment of patients with unresectable hepatocellular carcinoma: a randomised phase 3 non-inferiority trial. Lancet 2018;391(10126):1163-1173 View Article PubMed/NCBI
  4. Qin S, Bi F, Gu S, Bai Y, Chen Z, Wang Z, et al. Donafenib Versus Sorafenib in First-Line Treatment of Unresectable or Metastatic Hepatocellular Carcinoma: A Randomized, Open-Label, Parallel-Controlled Phase II-III Trial. J Clin Oncol 2021;39(27):3002-3011 View Article PubMed/NCBI
  5. Qin S, Li Q, Gu S, Chen X, Lin L, Wang Z, et al. Apatinib as second-line or later therapy in patients with advanced hepatocellular carcinoma (AHELP): a multicentre, double-blind, randomised, placebo-controlled, phase 3 trial. Lancet Gastroenterol Hepatol 2021;6(7):559-568 View Article PubMed/NCBI
  6. Abou-Alfa GK, Meyer T, Cheng AL, El-Khoueiry AB, Rimassa L, Ryoo BY, et al. Cabozantinib in Patients with Advanced and Progressing Hepatocellular Carcinoma. N Engl J Med 2018;379(1):54-63 View Article PubMed/NCBI
  7. Zhu AX, Park JO, Ryoo BY, Yen CJ, Poon R, Pastorelli D, et al. Ramucirumab versus placebo as second-line treatment in patients with advanced hepatocellular carcinoma following first-line therapy with sorafenib (REACH): a randomised, double-blind, multicentre, phase 3 trial. Lancet Oncol 2015;16(7):859-870 View Article PubMed/NCBI
  8. Kim BH, Yu SJ, Kang W, Cho SB, Park SY, Kim SU, et al. Expert consensus on the management of adverse events in patients receiving lenvatinib for hepatocellular carcinoma. J Gastroenterol Hepatol 2022;37(3):428-439 View Article PubMed/NCBI
  9. Rimassa L, Danesi R, Pressiani T, Merle P. Management of adverse events associated with tyrosine kinase inhibitors: Improving outcomes for patients with hepatocellular carcinoma. Cancer Treat Rev 2019;77:20-28 View Article PubMed/NCBI
  10. Qin S, Ren Z, Meng Z, Chen Z, Chai X, Xiong J, et al. Camrelizumab in patients with previously treated advanced hepatocellular carcinoma: a multicentre, open-label, parallel-group, randomised, phase 2 trial. Lancet Oncol 2020;21(4):571-580 View Article PubMed/NCBI
  11. Qin S, Chen Z, Fang W, Ren Z, Xu R, Ryoo BY, et al. Pembrolizumab Versus Placebo as Second-Line Therapy in Patients From Asia With Advanced Hepatocellular Carcinoma: A Randomized, Double-Blind, Phase III Trial. J Clin Oncol 2023;41(7):1434-1443 View Article PubMed/NCBI
  12. Kudo M. Durvalumab Plus Tremelimumab: A Novel Combination Immunotherapy for Unresectable Hepatocellular Carcinoma. Liver Cancer 2022;11(2):87-93 View Article PubMed/NCBI
  13. France NL, Blair HA. Tremelimumab: A Review in Advanced or Unresectable Hepatocellular Carcinoma. Target Oncol 2024;19(1):115-123 View Article PubMed/NCBI
  14. Yau T, Kang YK, Kim TY, El-Khoueiry AB, Santoro A, Sangro B, et al. Efficacy and Safety of Nivolumab Plus Ipilimumab in Patients With Advanced Hepatocellular Carcinoma Previously Treated With Sorafenib: The CheckMate 040 Randomized Clinical Trial. JAMA Oncol 2020;6(11):e204564 View Article PubMed/NCBI
  15. Zhang Y, Wang M, Chen Q, Deng Y, Chen J, Dai Y, et al. Adverse Events of Immune Checkpoint Inhibitor-Based Therapies for Unresectable Hepatocellular Carcinoma in Prospective Clinical Trials: A Systematic Review and Meta-Analysis. Liver Cancer 2023;12(6):521-538 View Article PubMed/NCBI
  16. Celsa C, Cabibbo G, Fulgenzi CAM, Scheiner B, D’Alessio A, Manfredi GF, et al. Characteristics and outcomes of immunotherapy-related liver injury in patients with hepatocellular carcinoma versus other advanced solid tumours. J Hepatol 2024;80(3):431-442 View Article PubMed/NCBI
  17. Xiang YJ, Wang K, Yu HM, Li XW, Cheng YQ, Wang WJ, et al. Transarterial chemoembolization plus a PD-1 inhibitor with or without lenvatinib for intermediate-stage hepatocellular carcinoma. Hepatol Res 2022;52(8):721-729 View Article PubMed/NCBI
  18. Li F, Wang T, Tang F, Liang J. Fatal acute-on-chronic liver failure following camrelizumab for hepatocellular carcinoma with HBsAg seroclearance: a case report and literature review. Front Med (Lausanne) 2023;10:1231597 View Article PubMed/NCBI
  19. Wang WJ, Liu ZH, Wang K, Yu HM, Cheng YQ, Xiang YJ, et al. Efficacy and safety of TACE combined with lenvatinib and PD-1 inhibitors for unresectable recurrent HCC: A multicenter, retrospective study. Cancer Med 2023;12(10):11513-11524 View Article PubMed/NCBI
  20. Yang XG, Sun YY, Wang HQ, Li DS, Xu GH, Huang XQ. Efficacy and safety of transarterial chemoembolization combining sorafenib with or without immune checkpoint inhibitors in previously treated patients with advanced hepatocellular carcinoma: A propensity score matching analysis. Front Oncol 2022;12:914385 View Article PubMed/NCBI
  21. Feng JK, Liu ZH, Fu ZG, Chai ZT, Sun JX, Wang K, et al. Efficacy and safety of transarterial chemoembolization plus antiangiogenic- targeted therapy and immune checkpoint inhibitors for unresectable hepatocellular carcinoma with portal vein tumor thrombus in the real world. Front Oncol 2022;12:954203 View Article PubMed/NCBI
  22. Han Z, Yang F, Zhang Y, Wang J, Ni Q, Zhu H, et al. Prognostic efficacy and prognostic factors of TACE plus TKI with ICIs for the treatment of unresectable hepatocellular carcinoma: A retrospective study. Front Oncol 2022;12:1029951 View Article PubMed/NCBI
  23. He MK, Liang RB, Zhao Y, Xu YJ, Chen HW, Zhou YM, et al. Lenvatinib, toripalimab, plus hepatic arterial infusion chemotherapy versus lenvatinib alone for advanced hepatocellular carcinoma. Ther Adv Med Oncol 2021;13:17588359211002720 View Article PubMed/NCBI
  24. Lau G, Yu ML, Wong G, Thompson A, Ghazinian H, Hou JL, et al. APASL clinical practice guideline on hepatitis B reactivation related to the use of immunosuppressive therapy. Hepatol Int 2021;15(5):1031-1048 View Article PubMed/NCBI
  25. Personeni N, Pressiani T, D’Alessio A, Prete MG, Bozzarelli S, Terracciano L, et al. Hepatotoxicity in Patients with Hepatocellular Carcinoma on Treatment with Immune Checkpoint Inhibitors. Cancers (Basel) 2021;13(22):5665 View Article PubMed/NCBI
  26. Zhang X, Zhou Y, Chen C, Fang W, Cai X, Zhang X, et al. Hepatitis B virus reactivation in cancer patients with positive Hepatitis B surface antigen undergoing PD-1 inhibition. J Immunother Cancer 2019;7(1):322 View Article PubMed/NCBI
  27. De Keukeleire SJ, Vermassen T, Nezhad ZM, Kerre T, Kruse V, Vlierberghe HV, et al. Managing viral hepatitis in cancer patients under immune checkpoint inhibitors: should we take the risk?. Immunotherapy 2021;13(5):409-418 View Article PubMed/NCBI
  28. Marrero JA, Kudo M, Venook AP, Ye SL, Bronowicki JP, Chen XP, et al. Observational registry of sorafenib use in clinical practice across Child-Pugh subgroups: The GIDEON study. J Hepatol 2016;65(6):1140-1147 View Article PubMed/NCBI
  29. Hiraoka A, Kumada T, Fukunishi S, Atsukawa M, Hirooka M, Tsuji K, et al. Post-Progression Treatment Eligibility of Unresectable Hepatocellular Carcinoma Patients Treated with Lenvatinib. Liver Cancer 2020;9(1):73-83 View Article PubMed/NCBI
  30. Kim HD, Bang Y, Lee MA, Kim JW, Kim JH, Chon HJ, et al. Regorafenib in patients with advanced Child-Pugh B hepatocellular carcinoma: A multicentre retrospective study. Liver Int 2020;40(10):2544-2552 View Article PubMed/NCBI
  31. Peer CJ, Sissung TM, Kim A, Jain L, Woo S, Gardner ER, et al. Sorafenib is an inhibitor of UGT1A1 but is metabolized by UGT1A9: implications of genetic variants on pharmacokinetics and hyperbilirubinemia. Clin Cancer Res 2012;18(7):2099-2107 View Article PubMed/NCBI
  32. Meza-Junco J, Chu QS, Christensen O, Rajagopalan P, Das S, Stefanyschyn R, et al. UGT1A1 polymorphism and hyperbilirubinemia in a patient who received sorafenib. Cancer Chemother Pharmacol 2009;65(1):1-4 View Article PubMed/NCBI
  33. Sacré A, Lanthier N, Dano H, Aydin S, Leggenhager D, Weber A, et al. Regorafenib induced severe toxic hepatitis: characterization and discussion. Liver Int 2016;36(11):1590-1594 View Article PubMed/NCBI
  34. Bruix J, Qin S, Merle P, Granito A, Huang YH, Bodoky G, et al. Regorafenib for patients with hepatocellular carcinoma who progressed on sorafenib treatment (RESORCE): a randomised, double-blind, placebo-controlled, phase 3 trial. Lancet 2017;389(10064):56-66 View Article PubMed/NCBI
  35. Qin S, Chan SL, Gu S, Bai Y, Ren Z, Lin X, et al. Camrelizumab plus rivoceranib versus sorafenib as first-line therapy for unresectable hepatocellular carcinoma (CARES-310): a randomised, open-label, international phase 3 study. Lancet 2023;402(10408):1133-1146 View Article PubMed/NCBI
  36. Cho YA, Han JM, Kang SY, Kim DC, Youn YJ, Choi KH, et al. Analysis of Risk Factors for Hepatotoxicity Induced by Immune Checkpoint Inhibitors. J Immunother 2021;44(1):16-21 View Article PubMed/NCBI
  37. Kudo M. Newly Developed Modified ALBI Grade Shows Better Prognostic and Predictive Value for Hepatocellular Carcinoma. Liver Cancer 2022;11(1):1-8 View Article PubMed/NCBI
  38. Tian BW, Yan LJ, Ding ZN, Liu H, Han CL, Meng GX, et al. Evaluating liver function and the impact of immune checkpoint inhibitors in the prognosis of hepatocellular carcinoma patients: A systemic review and meta-analysis. Int Immunopharmacol 2023;114:109519 View Article PubMed/NCBI
  39. You H, Wang F, Li T, Xu X, Sun Y, Nan Y, et al. Guidelines for the Prevention and Treatment of Chronic Hepatitis B (version 2022). J Clin Transl Hepatol 2023;11(6):1425-1442 View Article PubMed/NCBI
  40. Chinese Society of Hepatology and Chinese Society of Infectious Diseases; Chinese Medical Association. Guideline for the prevention and treatment of hepatitis C (2022 version). Zhonghua Gan Zang Bing Za Zhi 2022;30(12):1332-1348 View Article PubMed/NCBI
  41. Abdel-Wahab N, Shah M, Lopez-Olivo MA, Suarez-Almazor ME. Use of Immune Checkpoint Inhibitors in the Treatment of Patients With Cancer and Preexisting Autoimmune Disease: A Systematic Review. Ann Intern Med 2018;168(2):121-130 View Article PubMed/NCBI
  42. Kocheise L, Piseddu I, Vonderlin J, Tjwa ET, Buescher G, Meunier L, et al. PD-1/PD-L1 immune checkpoint therapy demonstrates favorable safety profile in patients with autoimmune and cholestatic liver disease. Front Immunol 2023;14:1326078 View Article PubMed/NCBI
  43. European Association for the Study of the Liver. EASL Clinical Practice Guidelines: Drug-induced liver injury. J Hepatol 2019;70(6):1222-1261 View Article PubMed/NCBI
  44. Garzel B, Zhang L, Huang SM, Wang H. A Change in Bile Flow: Looking Beyond Transporter Inhibition in the Development of Drug-induced Cholestasis. Curr Drug Metab 2019;20(8):621-632 View Article PubMed/NCBI
  45. van Erp NP, Gelderblom H, Guchelaar HJ. Clinical pharmacokinetics of tyrosine kinase inhibitors. Cancer Treat Rev 2009;35(8):692-706 View Article PubMed/NCBI
  46. Raschi E, De Ponti F. Strategies for Early Prediction and Timely Recognition of Drug-Induced Liver Injury: The Case of Cyclin-Dependent Kinase 4/6 Inhibitors. Front Pharmacol 2019;10:1235 View Article PubMed/NCBI
  47. Takimoto T, Kijima T, Otani Y, Nonen S, Namba Y, Mori M, et al. Polymorphisms of CYP2D6 gene and gefitinib-induced hepatotoxicity. Clin Lung Cancer 2013;14(5):502-507 View Article PubMed/NCBI
  48. Weng Z, Luo Y, Yang X, Greenhaw JJ, Li H, Xie L, et al. Regorafenib impairs mitochondrial functions, activates AMP-activated protein kinase, induces autophagy, and causes rat hepatocyte necrosis. Toxicology 2015;327:10-21 View Article PubMed/NCBI
  49. Xue T, Luo P, Zhu H, Zhao Y, Wu H, Gai R, et al. Oxidative stress is involved in Dasatinib-induced apoptosis in rat primary hepatocytes. Toxicol Appl Pharmacol 2012;261(3):280-291 View Article PubMed/NCBI
  50. Mingard C, Paech F, Bouitbir J, Krähenbühl S. Mechanisms of toxicity associated with six tyrosine kinase inhibitors in human hepatocyte cell lines. J Appl Toxicol 2018;38(3):418-431 View Article PubMed/NCBI
  51. Paech F, Bouitbir J, Krähenbühl S. Hepatocellular Toxicity Associated with Tyrosine Kinase Inhibitors: Mitochondrial Damage and Inhibition of Glycolysis. Front Pharmacol 2017;8:367 View Article PubMed/NCBI
  52. Zhang J, Salminen A, Yang X, Luo Y, Wu Q, White M, et al. Effects of 31 FDA approved small-molecule kinase inhibitors on isolated rat liver mitochondria. Arch Toxicol 2017;91(8):2921-2938 View Article PubMed/NCBI
  53. Dhalluin-Venier V, Besson C, Dimet S, Thirot-Bibault A, Tchernia G, Buffet C. Imatinib mesylate-induced acute hepatitis with autoimmune features. Eur J Gastroenterol Hepatol 2006;18(11):1235-1237 View Article PubMed/NCBI
  54. Zitvogel L, Rusakiewicz S, Routy B, Ayyoub M, Kroemer G. Immunological off-target effects of imatinib. Nat Rev Clin Oncol 2016;13(7):431-446 View Article PubMed/NCBI
  55. Spigel DR, Reynolds C, Waterhouse D, Garon EB, Chandler J, Babu S, et al. Phase 1/2 Study of the Safety and Tolerability of Nivolumab Plus Crizotinib for the First-Line Treatment of Anaplastic Lymphoma Kinase Translocation - Positive Advanced Non-Small Cell Lung Cancer (CheckMate 370). J Thorac Oncol 2018;13(5):682-688 View Article PubMed/NCBI
  56. Liu P, Zhao L, Pol J, Levesque S, Petrazzuolo A, Pfirschke C, et al. Crizotinib-induced immunogenic cell death in non-small cell lung cancer. Nat Commun 2019;10(1):1486 View Article PubMed/NCBI
  57. Lampson BL, Kasar SN, Matos TR, Morgan EA, Rassenti L, Davids MS, et al. Idelalisib given front-line for treatment of chronic lymphocytic leukemia causes frequent immune-mediated hepatotoxicity. Blood 2016;128(2):195-203 View Article PubMed/NCBI
  58. Hirasawa M, Hagihara K, Okudaira N, Izumi T. The Possible Mechanism of Idiosyncratic Lapatinib-Induced Liver Injury in Patients Carrying Human Leukocyte Antigen-DRB1*07:01. PLoS One 2015;10(6):e0130928 View Article PubMed/NCBI
  59. Xu CF, Johnson T, Wang X, Carpenter C, Graves AP, Warren L, et al. HLA-B*57:01 Confers Susceptibility to Pazopanib-Associated Liver Injury in Patients with Cancer. Clin Cancer Res 2016;22(6):1371-1377 View Article PubMed/NCBI
  60. Yang H, Yao Z, Zhou X, Zhang W, Zhang X, Zhang F. Immune-related adverse events of checkpoint inhibitors: Insights into immunological dysregulation. Clin Immunol 2020;213:108377 View Article PubMed/NCBI
  61. Vanderlugt CL, Miller SD. Epitope spreading in immune-mediated diseases: implications for immunotherapy. Nat Rev Immunol 2002;2(2):85-95 View Article PubMed/NCBI
  62. Keir ME, Liang SC, Guleria I, Latchman YE, Qipo A, Albacker LA, et al. Tissue expression of PD-L1 mediates peripheral T cell tolerance. J Exp Med 2006;203(4):883-895 View Article PubMed/NCBI
  63. Das R, Verma R, Sznol M, Boddupalli CS, Gettinger SN, Kluger H, et al. Combination therapy with anti-CTLA-4 and anti-PD-1 leads to distinct immunologic changes in vivo. J Immunol 2015;194(3):950-959 View Article PubMed/NCBI
  64. Riaz N, Havel JJ, Makarov V, Desrichard A, Urba WJ, Sims JS, et al. Tumor and Microenvironment Evolution during Immunotherapy with Nivolumab. Cell 2017;171(4):934-949.e16 View Article PubMed/NCBI
  65. Arce Vargas F, Furness AJS, Litchfield K, Joshi K, Rosenthal R, Ghorani E, et al. Fc Effector Function Contributes to the Activity of Human Anti-CTLA-4 Antibodies. Cancer Cell 2018;33(4):649-663.e4 View Article PubMed/NCBI
  66. Simpson TR, Li F, Montalvo-Ortiz W, Sepulveda MA, Bergerhoff K, Arce F, et al. Fc-dependent depletion of tumor-infiltrating regulatory T cells co-defines the efficacy of anti-CTLA-4 therapy against melanoma. J Exp Med 2013;210(9):1695-1710 View Article PubMed/NCBI
  67. Kumar P, Saini S, Prabhakar BS. Cancer immunotherapy with check point inhibitor can cause autoimmune adverse events due to loss of Treg homeostasis. Semin Cancer Biol 2020;64:29-35 View Article PubMed/NCBI
  68. Suzman DL, Pelosof L, Rosenberg A, Avigan MI. Hepatotoxicity of immune checkpoint inhibitors: An evolving picture of risk associated with a vital class of immunotherapy agents. Liver Int 2018;38(6):976-987 View Article PubMed/NCBI
  69. De Martin E, Michot JM, Papouin B, Champiat S, Mateus C, Lambotte O, et al. Characterization of liver injury induced by cancer immunotherapy using immune checkpoint inhibitors. J Hepatol 2018;68(6):1181-1190 View Article PubMed/NCBI
  70. Yamashita T, Kudo M, Ikeda K, Izumi N, Tateishi R, Ikeda M, et al. REFLECT-a phase 3 trial comparing efficacy and safety of lenvatinib to sorafenib for the treatment of unresectable hepatocellular carcinoma: an analysis of Japanese subset. J Gastroenterol 2020;55(1):113-122 View Article PubMed/NCBI
  71. Ren Z, Xu J, Bai Y, Xu A, Cang S, Du C, et al. Sintilimab plus a bevacizumab biosimilar (IBI305) versus sorafenib in unresectable hepatocellular carcinoma (ORIENT-32): a randomised, open-label, phase 2-3 study. Lancet Oncol 2021;22(7):977-990 View Article PubMed/NCBI
  72. Pi B, Wang J, Tong Y, Yang Q, Lv F, Yu Y. Immune-related cholangitis induced by immune checkpoint inhibitors: a systematic review of clinical features and management. Eur J Gastroenterol Hepatol 2021;33(Suppl 1):e858-e867 View Article PubMed/NCBI
  73. Technology Committee on DILI Prevention and Management, Chinese Medical Biotechnology Association; Study Group of Drug-Induced Liver Disease, Chinese Medical Association for the Study of Liver Diseases. Chinese guideline for diagnosis and management of drug-induced liver injury (2023 version). Zhonghua Gan Zang Bing Za Zhi 2023;31(4):355-384 View Article PubMed/NCBI
  74. Immunotherapy Expert Committee of the Chinese Society of Clinical Oncology. Expert Consensus on the application of immune checkpoint inhibitors in special populations. Chin Clin Oncol 2022;27(5):442-454 View Article PubMed/NCBI
  75. Béchade D, Desjardin M, Castain C, Bernard PH, Fonck M. Fatal Acute Liver Failure as a Consequence of Regorafenib Treatment in a Metastatic Colon Cancer. Case Rep Oncol 2017;10(2):790-794 View Article PubMed/NCBI
  76. Wang QL, Li XJ, Yao ZC, Zhang P, Xu SL, Huang H, et al. Sorafenib-induced acute-on-chronic liver failure in a patient with hepatocellular carcinoma after transarterial chemoembolization and radiofrequency ablation: A case report. Mol Clin Oncol 2017;7(4):693-695 View Article PubMed/NCBI
  77. Fairfax BP, Pratap S, Roberts IS, Collier J, Kaplan R, Meade AM, et al. Fatal case of sorafenib-associated idiosyncratic hepatotoxicity in the adjuvant treatment of a patient with renal cell carcinoma. BMC Cancer 2012;12:590 View Article PubMed/NCBI
  78. Murad W, Rabinowitz I, Lee FC. Sorafenib-Induced Grade Four Hepatotoxicity in a Patient with Recurrent Gastrointestinal Stromal Tumor (GIST): A Case Report and Review of Literature. ACG Case Rep J 2014;1(2):115-117 View Article PubMed/NCBI
  79. Cohen JV, Dougan M, Zubiri L, Reynolds KL, Sullivan RJ, Misdraji J. Liver biopsy findings in patients on immune checkpoint inhibitors. Mod Pathol 2021;34(2):426-437 View Article PubMed/NCBI
  80. Zen Y, Yeh MM. Checkpoint inhibitor-induced liver injury: A novel form of liver disease emerging in the era of cancer immunotherapy. Semin Diagn Pathol 2019;36(6):434-440 View Article PubMed/NCBI
  81. LoPiccolo J, Brener MI, Oshima K, Lipson EJ, Hamilton JP. Nodular Regenerative Hyperplasia Associated With Immune Checkpoint Blockade. Hepatology 2018;68(6):2431-2433 View Article PubMed/NCBI
  82. Mekki A, Dercle L, Lichtenstein P, Marabelle A, Michot JM, Lambotte O, et al. Detection of immune-related adverse events by medical imaging in patients treated with anti-programmed cell death 1. Eur J Cancer 2018;96:91-104 View Article PubMed/NCBI
  83. Freites-Martinez A, Santana N, Arias-Santiago S, Viera A. Using the Common Terminology Criteria for Adverse Events (CTCAE - Version 5.0) to Evaluate the Severity of Adverse Events of Anticancer Therapies. Actas Dermosifiliogr (Engl Ed) 2021;112(1):90-92 View Article PubMed/NCBI
  84. Fontana RJ, Watkins PB, Bonkovsky HL, Chalasani N, Davern T, Serrano J, et al. Drug-Induced Liver Injury Network (DILIN) prospective study: rationale, design and conduct. Drug Saf 2009;32(1):55-68 View Article PubMed/NCBI
  85. Muratori L, Lohse AW, Lenzi M. Diagnosis and management of autoimmune hepatitis. BMJ 2023;380:e070201 View Article PubMed/NCBI
  86. Tsung I, Dolan R, Lao CD, Fecher L, Riggenbach K, Yeboah-Korang A, et al. Liver injury is most commonly due to hepatic metastases rather than drug hepatotoxicity during pembrolizumab immunotherapy. Aliment Pharmacol Ther 2019;50(7):800-808 View Article PubMed/NCBI
  87. He D, Wu X, Luo M. Therapeutic efficacy of polyene phosphatidylcholine on hepatic injury in patients with primary liver cancer receiving transcatheter arterial chemoembolization. Infect Dis Info 2014;2:102-104 View Article PubMed/NCBI
  88. Xia X. The therapeutic effects and mechanisms of s-adenosylmethionine in postoperative liverinjury of primary liver cancer. Contemp Med Forum 2023;21(3):117-119 View Article PubMed/NCBI
  89. Chen W, Zheng R, Baade PD, Zhang S, Zeng H, Bray F, et al. Cancer statistics in China, 2015. CA Cancer J Clin 2016;66(2):115-132 View Article PubMed/NCBI
  90. Shyam Sunder S, Sharma UC, Pokharel S. Adverse effects of tyrosine kinase inhibitors in cancer therapy: pathophysiology, mechanisms and clinical management. Signal Transduct Target Ther 2023;8(1):262 View Article PubMed/NCBI
  91. Sangro B, Gomez-Martin C, de la Mata M, Iñarrairaegui M, Garralda E, Barrera P, et al. A clinical trial of CTLA-4 blockade with tremelimumab in patients with hepatocellular carcinoma and chronic hepatitis C. J Hepatol 2013;59(1):81-88 View Article PubMed/NCBI
  92. Peeraphatdit TB, Wang J, Odenwald MA, Hu S, Hart J, Charlton MR. Hepatotoxicity From Immune Checkpoint Inhibitors: A Systematic Review and Management Recommendation. Hepatology 2020;72(1):315-329 View Article PubMed/NCBI
  93. Iwamoto K, Ishitsuka Y, Tanaka R, Sekine I, Fujimoto M. Azathioprine combination therapy for steroid-refractory hepatic immune system-related adverse events. Eur J Dermatol 2017;27(3):301-303 View Article PubMed/NCBI
  94. Omori G, Takada K, Murase K, Hayasaka N, Nakamura H, Iyama S, et al. Successful mycophenolate mofetil treatment of a patient with severe steroid-refractory hepatitis evoked by nivolumab plus ipilimumab treatment for relapsed bladder cancer. Clin Case Rep 2021;9(2):654-659 View Article PubMed/NCBI
  95. Shi G, Huang X, Reng Z. Chinese expert consensus on the management of immune-related adverse events of hepato-cellular carcinoma treated with immune checkpoint inhibitors (2021 edition). Chin J Dig Surg 2021;20(12):1241-1258 View Article PubMed/NCBI
  96. Chinese Chapter of the International Hepato-Pancreato-Biliary Association; Group of Liver Surgery, Surgical Society of Chinese Medical Association; Expert Committee on Liver Cancer, Chinese Society of Clinical Oncology. Chinese multidisciplinary expert consensus on combined immunotherapy for hepatocellular carcinoma(2023 version). Zhonghua Gan Zang Bing Za Zhi 2023;31(1):16-34 View Article PubMed/NCBI
  97. Yang Y, Sun J, Cai J, Chen M, Dai C, Wen T, et al. Chinese Expert Consensus on the Whole-Course Management of Hepatocellular Carcinoma (2023 Edition). Liver Cancer 2024;14(3):311-333 View Article PubMed/NCBI
  98. Chinese Society of Hepatology, Chinese Medical Association. The consensus on tertiary prevention of primary liver cancer (2022 version). Zhonghua Gan Zang Bing Za Zhi 2022;30(8):832-845 View Article PubMed/NCBI
  99. Cunningham M, Gupta R, Butler M. Checkpoint inhibitor hepatotoxicity: pathogenesis and management. Hepatology 2024;79(1):198-212 View Article PubMed/NCBI
  100. Da Cunha T, Wu GY, Vaziri H. Immunotherapy-induced Hepatotoxicity: A Review. J Clin Transl Hepatol 2022;10(6):1194-1204 View Article PubMed/NCBI
  • Journal of Clinical and Translational Hepatology
  • pISSN 2225-0719
  • eISSN 2310-8819
  • Copyright © 2022 JCTH. All Rights Reserved.
  • Published by Xia & He Publishing Inc.
  • Address: 14090 Southwest Freeway, Suite 300, Sugar Land, Texas 77478, USA
  • Email: service@xiahepublishing.com